「今は、前歯でも保険で白くなるんでしょ?だったら、保険で十分だよ」
「奥の歯は別に、見えないから銀歯でもいい」
このようにおっしゃる方は、まだ多いです。
ほとんどの方は保険での治療が十分な治療だと思われています。
しかし、本当にそうなのでしょうか?
実際に歯科診療をしている側から見ると保険診療には明らかに限界があるというのが実際のところです。
| 保険の前歯の特徴 |
| まず、保険の前歯のかぶせものですが、これは「硬質レジン前装冠」といいまして、簡単に言うと固いプラスチックを金属の上にかぶせている、というものです。 これは表面がプラスチックですので、平均的には2~3年程度で変色してしまいます。 皆さんの周りの方でもいませんか? また、保険の前歯の場合、変色はしていなくても、プラスチックですので、天然の歯の色、ツヤ、透明感を出そうと思っても、それを出すことができないのです。ですから、変色していなくても、「あっ、他の歯と違うな」と感じてしまいます。 保険の前歯はプラスチックですので、変色だけでなく水分を吸収して、口臭の原因となることもあります。 |
| 保険の奥歯の特徴 |
| 次は奥歯ですが、前から4番目の歯を保険が適用される銀歯にすると、笑った時にキラッと見えてしまう方が多いです(口の大きさによって変わります)。
また、もっと奥の歯でも、下の歯だと大きな口を開けて笑うと、たとえ奥歯であっても、かなり見えてしまいます。人と話をしていて、「あっ、銀歯が入ってるんだな」と思うことがあるのではないでしょうか。 もちろん、銀歯が入ってることが全く気にならないという方もいらっしゃるかと思います。しかし、一方で「銀歯は入れたくない」という方がほとんどです。 しかし、白い歯を入れたくても、金銭的な事情で入れられない方が多いのが実情です。 ということは、「別に銀歯で良いよ」と言っている本人は気にならなくても、それを見ている人の多くは気になっているのではないでしょうか。 |
| 銀歯は気になる?気にならない? |
| たとえば、外見をとっても気にされて、キレイにされているし、本人もこだわっているのに、笑うと銀歯が3本ぐらい見えて、前歯は3本も変色している28歳の女性がいたら、どう思われますか?「顔もかわいいし、見た目もキレイなのにもったいない」と思いませんか? つまり、それぐらい、他人から見ると、歯というのは見た目に影響があるということなのではないでしょうか。 白くてキレイな笑顔と銀歯がキラッと見える笑顔ではどちらが良いでしょうか? その違いにはどれだけの価値があるでしょうか? 笑顔がステキな人ほど、やはり、印象というのは良いものですが、その第一印象が仕事においても重要なのは言うまでもありません。ということは、第一印象にも影響する笑顔、そこに銀歯があるかどうかも仕事において重要ということになるのではないでしょうか。 たとえば、営業をされてる方の営業成績に、会社を経営されてる方の会社の業績にも影響を与えてくるということがあるのではないでしょうか。 |
当院のスタッフ全員、あなたの健康と笑顔、そしていつまでも続くうつくしさを願っています。あなたの日々の生活を充実させるために『美しい歯』を取り戻す治療を行っています。
神戸市須磨区の歯科医院(歯医者)とも歯科医院では、審美歯科としてノンメタル治療(オールセラミック治療)をはじめ、ホワイトニング、そして審美矯正歯科などに対応致しております。
審美歯科とは、文字の通り審美性を重視した歯科治療ですが、神戸市須磨区の歯科医院(歯医者)とも歯科医院では審美性だけではなく、歯のことも考えた上で審美歯科治療を行なっておりますので、安心してご来院下さい。
見た目が既に気になっている方には、次のような対処方法があります。審美歯科・ホワイトニングは神戸市須磨区の歯科医院(歯医者)とも歯科医院へ/審美歯科・ホワイトニング対応の歯科医院
歯石が付いている方は、この治療の前にスケーリング(歯石除去―保険適応)が必要です。
※タバコを吸っている方は、ご遠慮ください。
ホワイトニングには以下の方法があります。
(1)オフィスホワイトニング
歯科医院で行います。1回30分から1時間くらいかかります。数回の来院が必要です。
(2)ホームホワイトニング
ご自宅で、自分自身で行います。
効果が出るまで個人差はありますが、2週間から4週間の期間が必要です。
(3)デュアルホワイトニング
上記(1)(2)のオフィスと、ホームを同時に実施するものです。効果は一番出ます。
| インレー | インレーとは、虫歯を削り取った後の歯に埋める詰め物です。
インレー(詰め物)には従来アマルガムや金属が使用されてきましたが、黒く目立ち、見た目にはよくありませんでした。 セラミックを使用することにより、治療箇所が目立たず、非常に健康的に見えます。![]() |
|---|---|
| クラウン | クラウンとは、虫歯を削り取った後に歯の全体を覆う被せ物です。 ブリッジとは、欠損歯を両側の歯を支えにして修復する治療方法です。 虫歯の進行具合によっては被せ物やブリッジによる治療となります。 セラミックを使用することで、金属や歯科用プラスチックでは得られない透明感のある白い歯の輝きを取り戻すことができますが、これは自費治療となります。 ![]() 尚、保険治療では、銀色の冠「フルキャストクラウン」 (色:銀 材質:銀合金)になります。 |
| ラミネートベニア | ベニアとは、歯の修復箇所に貼り合わせる薄片です。歯の色がくすんでいたり、ケガなどで歯の一部が欠けたりなどの悩みには、セラミックの薄片を貼り合わせる治療を行うことで解決します。 天然歯の形、健康的な色艶に再現します。 |
審美歯科・ホワイトニングは神戸市須磨区の歯科医院(歯医者)とも歯科医院へ/審美歯科・ホワイトニング対応の歯科医院
ノンメタル治療(オールセラミック治療)とは、金属を使わずにする治療のことです。前歯だけでなく、見えにくい奥歯も治療が可能です。歯とほぼ同じ硬さで、自然な咬み合せも得ることができます。
オールセラミックは、生体親和性の高いセラミック材料を使用し、患者様の歯に合わせてつくるオーダーメイドの冠です。 天然歯との見分けが難しいほど自然な色と輝きを得ることができ、時間を経てもその美しさが保たれます。
セラミックと保険診療とを比べると、前歯の保険治療の場合、その材質は、プラスチック製の被せ物になります。
その為、経年的に変色しやすく、すり減ってしまいやすい為、噛み合わせも変化してしまいやすいですが、 このようなデメリットがセラミックではありません。| 保険診療の場合 |
前歯治療の場合 | 材質:プラスチック製の被せ物 変色:経年的に変色しやすい 摩耗:すり減ってしまいやすい 噛み合わせも変化してしまいやすい |
|
|---|---|---|---|
| セラミックの場合 | 材質:セラミック 変色:経年的に変色しにくい 摩耗:すり減りにくい 噛み合わせも変化しにくい |
||
( ※食生活やお手入れの状態によっては変化することがあります。)
オールセラミックにて審美歯科治療をお考えの方は、神戸市須磨区の歯科医院(歯医者)とも歯科医院に、是非ご来院下さい。
審美歯科・ホワイトニングは神戸市須磨区の歯科医院(歯医者)とも歯科医院へ/審美歯科・ホワイトニング対応の歯科医院
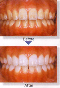
アメリカで開発されたホワイトニングは、シンプルな方法で安全に歯を白くできることが人々に支持され、驚異的なスピードで全世界に広まりました。今や「白く美しい歯」が健康美の象徴として世界の人々共通の憧れとなっています。
「歯を白くする」歯磨き剤は、いずれも歯の表面に付着したステインを削り落とすだけなので、歯自体は白くならないと失望した人が大勢いたようです。
しかし、現在のホワイトニングは今まで不可能とされていた歯自体の色調をコントロールする治療法で、プロフェッショナルの技術により本当に歯が白くなります。
また、「痛い治療ならしない」という歯医者嫌いの方も多いはずですが、ホワイトニングは「痛くない」「歯を削らない」「麻酔を使用しない」と三拍子揃いで、尚且つ劇的に状態が改善される良いこと尽くめの治療法です。
歯の着色は、先天性のもの、薬物、損傷によるもの、食生活や加齢の影響など様々な原因でおこります。過酸化物による歯の漂白は歯に内在する有機成分を分解漂白して歯の構造や歯質を変えずに安全に歯を白くします。
もちろん口腔内の状況に左右されますが、白い歯という要望に応えるだけならホワイトニングで叶えることができます。
神戸市須磨区の歯科医院(歯医者)とも歯科医院では、自宅で行う低濃度ジェルによるホームホワイトニングと、歯科医院内にて実施するオフィスホワイトニングどちらにも対応しております。歯を白くされたいた方は、お気軽にご相談下さい。
ホワイトニングは神戸市須磨区の歯科医院(歯医者)とも歯科医院へ/ホームホワイトニング対応の歯科医院
| オフィスホワイトニング |
その場ですぐに効果が現れますが、後戻りも早い場合があります。術後、ホームブリーチングを続けていただくと、効果を保つことが出来ます。 また、神戸市須磨区のとも歯科医院で導入しているオフィスホワイトニング機器と材料は、Tion(ティオン)です。歯面漂白用加熱装置コスモブルーは、多数の歯を一度に効率よく照射できます。 ティオン オフィスは新技術「可視光応答型光触媒V-CAT」の応用により、比較的低い過酸化水素濃度での高いホワイトニング効果と低刺激性を両立させた新しいオフィスホワイトニング材があり、そのホワイトニング材とコスモブルーによって患者さまの歯を白くさせて頂きます。 ![]() 歯を短期間で、白くされたい方は、是非、神戸市須磨区の歯科医院(歯医者)とも歯科医院へご来院下さい。きっと、納得の白い歯になることができます。 |
| ホームホワイトニング |
歯科医師の指導を受けて頂き、ご自身で行って頂きながら白い歯を取り戻して頂けます。ポイントは、自己管理が必要なことと、効果を得るまである程度の時間が必要ですが、オフィスホワイトニングより白くなる限界が高くなります。 ホームホワイトニングは、「効果が長く続くこと」・「時間はかかりますが、キレイに白くなること」が特長です。 ジェルの成分(過酸化尿素)はもともと口腔内の消毒に使われていたものですから、安全で歯の構造を変えずに歯が白くなります。 ![]() また、とも歯科医院で、採用しているホームホワイトニング材もオフィスホワイトニング同様、Tion(ティオン)です。 |
ホワイトニングは神戸市須磨区の歯科医院(歯医者)とも歯科医院へ/ホームホワイトニング対応の歯科医院
保険でも最善の治療が出来るかというと、それは現実的には難しいのです。保険制度では、1つの処置がいくらというのが決められています。それはすごい上手な人がやっても、大学を卒業して1年目の人がやっても価格が同じなのです。
しかも、その金額の設定が非常に低くされているのです。
例えば、根っこの治療をすると、私は最低でも3回かけているのですが、一生懸命やっていると、1回30分くらいかかるのに、保険での金額は110円~210円(実際には再診料など、その外の点数が加算されますが、根っこの治療だけですとこれぐらいの金額になります)です。
保険で4番目の歯を銀歯で治療すると1万円程度です。
これを保険外のメタルボンドで白くしたら8万円です。
これだけ金額に差があったときに、治療の質に差が出るのはやはり、当然ではないでしょうか。
治療の質はどれだけ時間と手間をかけるかによります。
金額が大きければそれだけ時間をかけられますから、手間のかかる治療法であったり、保険が効かない高価な材料を使うことも出来ます。よくたとえで使われるのが既製服とオーダーメードの違いです。
私もオーダーメードのスーツは作ったことないのですが、既製服の限界は肌で感じています。
「これデザインは良いんだけど、き、きつい!もう少し、やせていたらなー」
「これ、もうちょっと色が濃ければいいのになー」
「このスーツ、見た目は良いんだけど、肩がこるんだよね」
「足の大きさが左右違うから、左右別々のサイズを買えれば良いのに・・・」
このようなことを感じたことはないでしょうか?
これと同じことが歯科治療でもあるのです。
保険治療は金額が限られているので、使える材料、使える時間が限られています。
そうなると、もちろん、一人一人に応じた治療をするのですが、どうしても精度が落ちてしまいます。精度が落ちると、洋服が体系に合ってないのと同じような不具合が生じます。
たとえば、咬みあわせが合わなくなってしまったり、自分の歯とかぶせ物の間に隙間ができてしまってむし歯が再発しやすくなるなどです。
しかし、自費治療ですと、十分な時間、高価な材料が使えますから、精度を十分に上げることができるのです。精度が上がると、洋服が体型にフィットしているのと同じように、咬みあわせがぴったりし、自分の歯とかぶせ物がしっかりフィットして、隙間を極限まで少なくすることが可能になるのです。
つまり、自費治療ではドクターが持っている技術を最大限引き出し、そのドクターの最高の治療を受けることが可能になるのです。
しかし、保険治療では、時間と材料の関係上、60~80%ぐらいの治療しか受けることが難しいのです。
また、オーダーメードであれば、「デザインをこうしてほしい」とか「ここをもうちょっと、こうしてほしい」という要望に応えることが出来ますが、既製服であれば、あるものの中から選ばなければなりません。 それと同じように保険のかぶせ物だと、例え白くなっても、出せる色は少なく、時間が経つと変色してしまいます。しかし、保険が適用されない自費であれば、色は天然の歯に合わせることが出来ますし、変色もしません。・自分の口元に自信を持って生活していけること
・自分の口を健康に保つために、最高の治療を受けること
これらに、あなたはどれだけの価値を見出すでしょうか?
価値を感じる方には、保険外の治療も検討されることをオススメします。
神戸市須磨区の歯科医院(歯医者)とも歯科医院 往診対応の歯科医院(歯医者) 矯正歯科・インプラントなど対応
















ベニアとは、歯の修復箇所に貼り合わせる薄片です。
オフィスホワイトニングは、歯科医師の管理のもとで施術される漂白法のため安全なホワイトニングと言えます。全ての処置が歯科医院内で完了しますので、患者様の負担が少なくて済みます。
ホームホワイトニングは、ご自宅で自分のペースで行うことができるホワイトニング法です。
ホームホワイトニングは医師の指導のもと患者様自身がご自宅などで行うため、高い安全性が求められます。比較的低濃度の過酸化尿素(10%)が含まれた材料を使用し、効果が現れるまで長期間継続する必要があります。ティオン ホームは、ジェルの性状やトレーの素材を工夫し快適にご使用いただけるホームホワイトニング材です。











